A Stress-Related Defect of the Spine
What is Spondylolysis?
Spondylolysis is a condition characterized by a stress fracture or defect in the pars interarticularis, a small but critical portion of a vertebra. It most commonly affects the lower lumbar spine, especially the L5 vertebra, and is a frequent cause of back pain in adolescents, athletes, and young adults.
This condition often develops due to repetitive stress and overuse, particularly from activities involving repeated spinal extension and rotation such as gymnastics, cricket fast bowling, football, and weightlifting.

Causes of Spondylolysis
- Repetitive spinal stress and overextension
- Sports involving hyperextension and rotation
- Genetic predisposition (thin or weak pars)
- Rapid growth during adolescence
- Poor core strength and biomechanics
Spondylolysis is a defect.
Spondylolisthesis is a slip.
Not all spondylolysis leads to spondylolisthesis.
Symptoms of Spondylolysis
Sed ut perspiciatis unde omnis iste natus error sit voluptatem accusantium doloremque laudantium, totam rem aperiam, eaque ipsa quae ab illo inventore veritatis et quasi architecto beatae vitae dicta sunt explicabo. Nemo enim ipsam voluptatem quia voluptas sit aspernatur aut odit.
- Persistent low back pain, worsened by activity
- Pain aggravated by bending backward
- Hamstring tightness
- Reduced flexibility
- Pain relief with rest
- In advanced cases, leg pain or stiffness


Diagnosis
Many patients may initially be asymptomatic and are diagnosed incidentally.
Accurate diagnosis is essential to prevent progression.
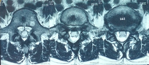
- X-rays – Initial screening (may miss early stage)
- MRI – Best for early stress reactions and soft tissue assessment
- CT Scan – Gold standard for bony defect visualization
- Bone Scan / SPECT – Helps identify active stress lesions




Treatment Options
Conservative Management (First Line)
Most patients respond well without surgery.
- Activity modification and rest
- Physiotherapy focusing on core strengthening
- Hamstring stretching
- Pain medications / anti-inflammatory drugs
- Lumbar brace in selected cases

Interventional & Surgical Options
Reserved for persistent symptoms or instability.
- Targeted pain management injections
- Pars repair surgery (select cases)
- Spinal stabilization if associated with slip

